Discover effective natural remedies for receding gums, including herbal treatments, essential oils, and lifestyle changes that promote healthier gums and prevent further recession.
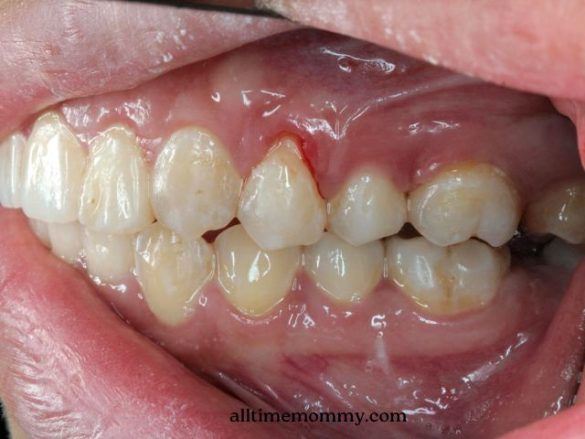
Receding gums are a common dental condition that occurs when the gum tissue surrounding your teeth pulls back in a process called gum recession.
This condition can lead to significant oral health issues if left untreated.
Why?
Because it exposes more of the tooth or even its root, making it susceptible to germs and harmful bacteria.
According to this research, receding gums is a form of periodontal disorder that mainly occurs due to inappropriate and aggressive daily brushing of teeth. When you regularly brush your teeth aggressively you may physically wound gingival tissues.
Also, chronic inflammatory periodontal issues may weaken your teeth and gums. This weakening of the gum may lead to gradual bone loss and root exposure of your teeth.
Receding gums may increase the risk of cavities, increase tooth sensitivity, and, in severe cases, lead to tooth loss.
While it may start as a minor change, if not addressed, it can escalate into a more severe problem.
The good news, however, is that there are effective ways to treat and even reverse receding gums.
In this blog, we’ll explore various at-home care routines and treatment that can help you regain healthy gums and prevent further recession.
But Before then,
How do you know if you are suffering from receding gums?
Many symptoms suggest you may be suffering from receding gums. These include;
- Bleeding during or after brushing .
- Red, swollen and sensitive gums.
- Pain and sensitivity in your gum lines.
- Visibly shrinking gums line.
- Exposed tooth roots.
- Having Loose teeth without a definite cause.
How to Fix Receding Gums
Most dentists treat gum recession through gum grafting procedure. This dental process involves getting donor tissue from another area of the mouth and transplanting it onto the receding area.
While this method is effective in fixing the gum line, it can be expensive and is not always accessible to everyone.
Additionally, the procedure requires a significant recovery period, which can be uncomfortable for some patients
So,
What is the Best Affordable and Natural Way to Fix Receding Gums?
For those who cannot afford gum grafting or prefer less invasive options, there are alternative treatments and preventive measures that can help manage and even reverse receding gums. These include
Use of specific plant extracts, essential oil and gentle brushing with a soft-bristled toothbrush. Certain lifestyle changes like quitting smoking can also help protect the gum line.
Affiliate Disclosure: As an Amazon Associate, I get a small commission for purchases made from Amazon.com through links in this post. Learn more about our affiliate disclaimer here.
5 Natural Remedies for Receding Gums
1. Clove and Sesame Oil paste for Receding Gums
Traditionally, some oils and herbal extracts have been a go-to remedy for oral issues.
According to research specific oils like organic sesame and high grade coconut can help reduce levels of bacteria causing gingivitis in the mouth which is a major cause of receding gum line.
Similarly, Clove is an antibacterial agent containing eugenol compounds that have been used in dentistry since the 19th century.
In fact one study shows that herbal mouthwash containing clove, basil, and tea tree oil demonstrated great success as an antiplaque, antigingivitis, and antimicrobial.
Using a paste made from organic ground clove and sesame oil can be a natural remedy to help manage symptoms associated with receding gums. Both clove and sesame oil have properties that may benefit gum health: clove oil is known for its anti-inflammatory and analgesic properties, while sesame oil can help reduce plaque and has potential antibacterial effects. Here’s how to use this paste:
Ingredients
- ½ tablespoon fresh –finely grounded Clove powder
- 10 ml of pure Sesame Oil
- 2 spoons of water
Preparation and usage
- Mix the ingredients in a small bowl.
- Take a small amount of the paste on your fingertip or a cotton swab.
- Gently apply the paste to the affected areas of your gums, focusing on the areas where the gums are receding.
- Massage the paste into the gums using a gentle, circular motion. Avoid applying too much pressure, as this can further irritate the gums.
- Allow the paste to sit on your gums for about 5 minutes. This gives the clove and sesame oil time to penetrate and act on the gum tissue.
- After the time has passed, rinse your mouth thoroughly with warm, salty water to remove any residue. Do Not swallow the paste.
- Avoid eating or drinking for about 30 minutes after application to allow the oils to continue working.
- You can apply this paste once or twice a day, depending on the severity of your gum recession.
- Alternatively, you can use the mixture as a toothpaste.
Related:
8 Best Strep Throat Self – Care Home Remedies
2. Use Toothpaste and Mouthwash with Neem Extract.
Neem (Azadirachta indica) is a tree whose leaves, bark, and seeds have been used for centuries in traditional medicine, particularly Ayurveda. This tree is famous for its potent antimicrobial, anti-inflammatory, and healing properties.
According to this research, Neem mouthwash can be an effective natural remedy for supporting gum health. This plant can prevent gum recession when used as part of a comprehensive oral care routine.
How?
Neem extracts are known to effectively reduce plaque deposition and prevent caries. It also enhances the immune response, which benefits oral health.
As such, if you frequently use a mouthwash containing Neem extract, you may experience fewer gingival problems and no halitosis issues.
How to make and Use Neem Bark Powder Toothpaste:
- Combine a small amount of neem bark powder with water to create a paste.
- Use the neem paste to brush your teeth gently for about 2 minutes. Focus on massaging the gums as well, as this can help in reducing inflammation and promoting circulation.
- Rinse your mouth thoroughly with water after brushing.
Option 2
-
- Get fresh neem leaves and bark.
- Put in a cup of water and boil.
- Swish the warm neem water for about one minute and spit.
Related:
10 Powerful Dry Cough Remedies For Adults
7 Best Remedies for Bloated Stomach and Gas
3. Oil pulling before bed with Coconut and tea tree oil.
Oil pulling is a traditional practice often associated with Ayurvedic medicine. It involves swishing oil, such as coconut oil, in the mouth for a period of time to promote oral health.
When combined with essential oils like tea tree oil, oil pulling becomes one of the best natural ways to stop receding gum line.
According to research, pure organic coconut oil can be effective remedy for periodontal diseases. It has natural antibacterial properties which help reduce the presence of harmful bacteria in the mouth, which contribute to gum disease and receding gums.
Similarly,
Studies show that tea tree oil has powerful antimicrobial effects. These effects combat the bacteria that cause gum inflammation and infection, reducing the risk of gum recession.
In fact a different study that sought to establish the efficacy of tea tree oil in dental health concluded that this oil offered a better improvement in patients with gingivitis and dental issues.
Regular oil pulling with a combination of these two oil in their natural organic form may help to reduce gum inflammation, one of the leading causes of gum recession.
How to oil pull
- One teaspoon of Tea tree oil
- Two tablespoons of pure organic coconut oil for oil pulling
- Dilute the tea tree oil with coconut oil to avoid irritation or allergic reactions.
- Swish a spoonful of oil in your mouth while pulling the oil between your teeth.
The anti-inflammatory agent in these oils will reduce inflammation and promote the healing of periodontal tissues, including your receding gums.
Related:
9 Best Toothache Relief Home Remedies
7 Powerful Natural Remedies To Get Rid Of Yeast Infection In Just 3 Days
4. Neem Bark Powder and Eucalyptus Oil Gel for Receding Gums
Neem bark powder is known for its antibacterial, anti-inflammatory, and healing properties, which can help manage gum issues, including recession.
Eucalyptus oil has antimicrobial and anti-inflammatory properties that can help soothe inflamed gums and improve gum health.
How to use neem powder and eucalyptus oil gel As a Gum Pack:
- Mix neem bark powder with water to form a thick paste.
- Since eucalyptus oil is potent, it should be diluted before use. Mix a few drops of eucalyptus oil with a carrier oil, such as high-quality coconut oil. Ensure the ratio is about 1-2 drops of eucalyptus oil per teaspoon of carrier oil to avoid irritation.
- Mix the oil with your neem powder. Blend the ingredients thoroughly to create a consistent gel.
- Gently apply the eucalyptus oil-neem powder gel to your gums using your fingertips or a cotton swab. Focus on the areas where the gums are receding. Leave it on for about 10-15 minutes.
- Gently massage the gel into the gums to stimulate blood flow and enhance absorption of the active ingredients.
- Rinse your mouth thoroughly with water afterward.
- Apply the gel 2-3 times a week, preferably before bedtime, to allow it to work overnight.
Get pure eucalyptus oil here
5. Gentle Brushing with a Soft-bristled Toothbrush
Poor oral hygiene is one of the primary cause of gum disease, including receding gums.
How?
Poor oral hygiene may lead to the formation of plaque—a sticky film of bacteria—that accumulates on the teeth and along the gum line.
If not removed through regular brushing or oil pulling, plaque hardens into tartar. Tartar buildup can cause the gums to recede as it creates a physical barrier between the gums and the teeth, leading to gum irritation and recession.
The bacteria in plaque release toxins that irritate and inflame the gums and can also damage the underlying bone and connective tissue that hold the teeth in place, worsening the recession.
But not just that.
Aggressive brushing of your teeth over the long term can also contribute to gum recession.
In fact this study suggest that inappropriate daily brushing may cause low-level but long lasting trauma to your teeth due to abrasion. Hard-bristled brushes or aggressive brushing can wear away gum tissue, exacerbating gum recession.
How to brush your teeth to prevent receding gum line.
Use a soft-bristled toothbrush like this one to avoid abrasive or wearing down your gum tissues.
Brush with the Right Technique
- Hold your toothbrush at a 45-degree angle to the gums using two to three fingers to avoid exerting excessive pressure on your gums.
- Instead of scrubbing back and forth, use small, gentle circular motions. This technique effectively cleans plaque without harming the gums.
- Ensure you brush all your teeth’ outer surfaces, inner surfaces, and chewing surfaces. For the inner surfaces of the front teeth, tilt the brush vertically and use up-and-down strokes.
Brush for the Right Duration
- Brush for at least two minutes to ensure your toothpaste has adequate time to work on your gums.
Brush at least once a Day
- Brush once in the morning and once before bed to prevent plague build-up. A saline water mouth rinse ( with Himalaya salt) before bed will also go a long way to maintaining healthy oral hygiene.
Floss Frequently
- Flossing removes plaque and food particles between your teeth and along the gum line, areas your toothbrush can’t reach.
Rinse with an Antibacterial Mouthwash
- An antibacterial mouthwash can help reduce bacteria in the mouth that contribute to gum disease. Rinse after brushing for an added layer of protection against gum problems.
Can Receding Gums Grow Back?
Yes, however you need to start early treatment. In fact One study that was performed in mice brought some array of hope by concluding you can reverse periodontal issues.
The trick is to identify the cause and start early treatment.
If you suspect gum recession, it’s essential to consult a dentist for a proper diagnosis and treatment plan.
I healed my receding gums
My front teeth were receding. Coconut oil swishing and gum massage worked so well for me. It took six months to grow back receding gums. i had packets of 11 %13 now they are 5 and 6. Brush your teeth gently, floss and cut down on sugar.
Rita Kakky
Related:
7 Hacks To Help You Stop Sugar Cravings Fast
10 Warning Signs That You Are Eating Too Much Sugar
Takeaway
How do you treat receding gums?
You can grow back receding gums by gently brushing your teeth with Neem toothpaste or mouthwash daily. Oil pulling and gum massage with organic coconut or sesame oil before bed will also help restore your receding gum line. Occasionally, apply clove and eucalyptus extract gel to your gums. Doing so while eating a calcium-rich diet will go a long way in reversing your receding gums quickly.
DISCLAIMER The information contained in this post is for general information purposes only. I’m not a health practitioner and as such, this information should not be used as a substitute for consultation with your professional service provider.



